Un accidente cerebrovascular se produce cuando el flujo de sangre que va a una parte del cerebro se corta o se empequeñece. Esto hace que el cerebro deje de recibir oxígeno y en cuestión de pocos minutos las neuronas empiezan a morir. Se trata de un problema de salud muy grave y que requiere atención médica inmediata.
Causas del accidente cerebrovascular
Bloqueos en las arterias
El accidente cerebrovascular o infarto cerebral es un tipo de ictus que básicamente está provocado por la existencia de un bloqueo en la una arteria o por la rotura de un vaso sanguíneo (en este caso se denomina accidente cerebrovascular hemorrágico). A veces se produce solo una interrupción breve del flujo de sangre al cerebro que no causa secuelas irreversibles. Es lo que llamamos accidente cerebrovascular isquémico y que supone la inmensa mayoría de accidentes cerebrovasculares. Suelen estar causados por una obstrucción de las arterias que van al cerebro.
Pero hay más tipos de accidentes cerebrovasculares, como:
- El accidente cerebrovascular trombótico, causado por un trombo o coágulo en una de las arterias que lleva sangre al cerebro.
- El accidente cerebrovascular embólico se produce cuando el coágulo se genera lejos del cerebro, pero a través de la sangre llega al cerebro donde las arterias son más estrechas.
- El accidente cerebrovascular hemorrágico está originado por la rotura en un vaso sanguíneo en el cerebro. En el caso de las hemorragias existen algunas causas claras que están detrás de su aparición. Una de las más frecuentes es tener la presión arterial alta.
A lo largo de los años se han identificado muchos elementos que inciden en la aparición del accidente cerebrovascular. Estos son los más frecuentes:
- Obesidad o sobrepeso.
- Falta de ejercicio físico.
- Consumo exagerado de tabaco, alcohol y drogas.
- Nivel de colesterol alto.
- Diabetes.
- Enfermedades cardiovasculares.
- Herencia genética.
- Consumir medicamentos que contienen estrógenos.
- Curiosamente, los hombres y, en especial, los afroamericanos tienen un porcentaje de posibilidades más alto de sufrir un accidente cerebrovascular.
El mayor peligro llega cuando el periodo de tiempo en el que el cerebro no recibe oxígeno es bastante largo. El riesgo es tener consecuencias graves como:
- Parálisis de una parte del cuerpo.
- Problemas en el habla.
- Dificultad de tragar líquidos y alimentos.
- Cierto nivel de pérdida de memoria.
- Cambios en el comportamiento.
- Dificultad para controlar las emociones.
Síntomas del accidente cerebrovascular
Hay que llamar al médico inmediatamente
Es importante acudir al médico sin perder tiempo cuando se observan algunos síntomas que pueden indicar la existencia de un accidente cerebrovascular como:
- Dificultad para hablar y para entender lo que dicen otras personas
- Dificultad o incluso parálisis de algunas partes del cuerpo, normalmente la cara, los brazos y las piernas
- Problemas de visión
- Intenso dolor de cabeza
Es útil preguntarle al enfermo algunas cosas básicas. Por ejemplo, hay que intentar que sonría. Si al hacerlo se nota una descompensación entre los dos lados de la cara, ese es un síntoma claro. Si al hablar lo hace de forma torpe o rara, también. Otro ejercicio consiste en levantar los brazos. Si no puede hacerlo, es un síntoma claro de un posible accidente cerebrovascular.
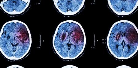
Diagnóstico del accidente cerebrovascular
Hay que actuar con urgencia
Es fundamental realizar un diagnóstico lo más rápido posible porque actuar con celeridad es clave para lograr buenos resultados. El médico de urgencias y su equipo ha de desvelar ante qué tipo de accidente cerebrovascular se enfrenta y que zonas del cerebro están dañadas. Además, se han de descartar otras posibilidades, como la existencia de un tumor cerebral o una reacción alérgica a un medicamento.
Lo primero es hacer el examen físico y realizar un análisis de sangre para tener más información sobre los coágulos y descartar posibles infecciones. También se suele hacer una visión por tomografía computarizada que puede ayudar a detectar si hay un tumor y una resonancia magnética que determinará el tejido cerebral afectado. Hay una variedad grande de pruebas. Otra de las más frecuente es la angiografía cerebral que consiste en introducir un catéter en el cuerpo, usualmente a través de la ingle, y recorrer las arterias.
Tratamiento y medicación del accidente cerebrovascular
Determinar qué tipo de accidente cerebrovascular ha ocurrido
El tratamiento del accidente cerebrovascular es diferente en el caso de un accidente cerebrovascular isquémico (con bloqueo de arteria) o hemorrágico (con hemorragia en el cerebro). En el primer caso, lo esencial es recuperar la normalidad en el flujo de la sangre hacia el cerebro. Para ello se usan medicinas que ayudan a destruir los coágulos. Una intervención rápida mejora las opciones de supervivencia y reduce las complicaciones.
La introducción de un catéter permite llevar el medicamento directamente donde está el coágulo. Este catéter también puede manipular el coágulo y extraerlo, especialmente cuando es grande. Para ello se infla un globo que ayuda a expandir la arteria y, en ocasiones, se coloca un estén para que la arteria permanezca abierta.
En el caso de un accidente cerebrovascular hemorrágico, la clave es controlar y detener la hemorragia. Se utilizan medicamentos para reducir la presión intracraneal), bajar la presión arterial y evitar la aparición de convulsiones.
A partir del control de la hemorragia, hay que vigilar que le cuerpo pueda absorber la sangre. En ocasiones hay que recurrir a la cirugía y realizar un grapado. Una vez se ha actuado con rapidez para detener el accidente, se entra en la fase de recuperación. La gravedad de la situación depende de la cantidad de tejidos afectados y de su situación en el cerebro. Si el accidente ha afectado el lado derecho del cerebro, el movimiento y la funcionalidad del lado izquierdo del cuerpo se verán afectados. Y viceversa. Si el accidente afectó el lado izquierdo del cerebro, el movimiento del lado derecho estará afectado y, en este caso, puede causar problemas para hablar. Los enfermos necesitan posteriormente un plan de rehabilitación, que será hecho a medida.
Prevención del accidente cerebrovascular
Estilo de vida saludable
La mejor prevención consiste en tener un plan de vida saludable y seguir algunos consejos simples:
- Tener bajo control la hipertensión.
- Evitar en la medida de lo posible el estrés.
- Hacer ejercicio moderado.
- Controlar el peso.
- No fumar ni beber alcohol en exceso.
- Controlar el nivel de colesterol.
- Dieta equilibrada.
- No consumir drogas.
- Consumir medicamentos preventivos como los anticoagulantes.
