El síndrome de Lynch o cáncer colorrectal hereditario no asociado a pólipos (HNPCC) es la más común de las condiciones hereditarias que aumentan la probabilidad de desarrollar el cáncer de colon o de recto. También puede ser la causa de otros cánceres como el de endometrio, uno de los tipos de cáncer de útero.
Causas del síndrome de Lynch
Mutación genética
La herencia del síndrome de Lynch es autosómica dominante: la alteración genética de los genes MLH1, MSH2, MSH6 y PMS2, entre otros, se trasmite de padres a hijos. Puede afectar a hombres y mujeres de una misma familia y puede trasmitirse de padres a hijos sin que se haya saltos de generaciones.
Síntomas del síndrome de Lynch
Malabsorción intestinal o hemorragias intestinales entre otros
Los signos o síntomas más frecuentes que pueden indicar la aparición de un caso de síndrome de Lynch son:
- Dolor abdominal.
- Cáncer de colon.
- Estreñimiento.
- Fatiga.
- Hemorragia gastrointestinal.
- Glioblastoma.
- Malabsorción intestinal.
- Pérdida involuntaria de peso.
- Ansiedad.
- Depresión.
- Náuseas y vómitos.
- Trastorno por déficit de atención con hiperactividad.
- Conducta anómala.
- Irritabilidad.
- Convulsiones.
Diagnóstico del síndrome de Lynch
Análisis genético
Ante la sospecha de un caso de síndrome de Lynch los especialistas en oncología plantearán la realización de un análisis genético para detectar mutaciones en los genes: MLH1, MSH2, MSH6 y PMS2, entre otros.
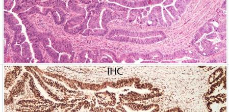
También existe el examen de tumores: el de inmunohistoquímica (IHC) que utiliza tintes especiales para teñir las muestras de tejido; y el examen de inestabilidad de microsatélites o secuencias de ADN.
Además, se realizará una colonoscopia y otras pruebas para detectar cánceres como el cáncer de endometrio que requerirá una biopsia; cáncer de ovario; cáncer en el sistema urinario; o cáncer gastrointestinal.
Tratamiento y medicación del síndrome de Lynch
Adecuado a cada caso
El tratamiento para cada caso de síndrome de Lynch se planteará de forma personalizada. Básicamente hay tres opciones: extirpación vía quirúrgica, quimioterapia y radioterapia pero el planteamiento depende de la etapa del tumor, su ubicación, el estado de salud general del paciente, la edad, su propia elección personal y el riesgo de recidiva.
Prevención del síndrome de Lynch
Cirugía preventiva
Como método de prevención se pueden plantear, ante un riesgo potencial de desarrollo de cánceres por síndrome de Lynch, cirugías como: la histerectomía, extirpación de ovarios y útero; o la colectomía, extirpación del colon.
