El estudio que afirma que el reggaeton provoca más actividad cerebral que la música clásica
Estudio
Un estudio canario ha investigado sobre las reacciones cerebral al escuchar diferentes estilos de música
Las redes sociales arden tratando de elegir al "Rey del Reggaeton"

El estudio que afirma que el reggaeton provoca más actividad cerebral que la música clásica

La tesis doctoral del neurocirujano Jesús Martín-Fernández, del Hospital Universitario Nuestra Señora de la Candelaria de Santa Cruz de Tenerife, ha sido la responsable de llevar a cabo el estudio sobre las reacciones cerebrales al escuchar diferentes estilos de música. Un proyecto que surgió con la idea de ligar sus dos pasiones, el cerebro y la música.
Para ello, contaron con la ayuda de 28 personas sin ningún tipo de formación musical previa y con gustos musicales muy variados, sometiéndolos primero a pruebas de oído para medir la capacidad musical, de discriminar melodías y de frases rítmicas de cada uno de ellos.

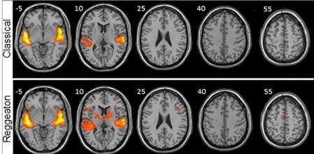
Después se sometió a las personas a una resonancia magnética funcional mientras escuchaban diferentes tipos y estilos de música sin letra, para estudiar de la manera más pura posible el procesamiento de la música. De no ser así, el lenguaje podría causar actividad cerebral pero empleando otras vías que no son las de la música.
Los investigadores analizaron el cerebro de cada participante anatómicamente y después la señal Bold, que es la que muestra qué áreas del cerebro cogen oxígeno y qué es lo que pasa cuando se activan las diferentes áreas.

Tras poner música electrónica, clásica, folch y reggaeton, el resultado fue increíble. El reggaeton fue el estilo musical que activó más áreas del cerebro, tanto las auditivas, como las que procesan el sonido, las motoras y las de movimiento. Según explica Martín-Fernández: "Es como si el reggaeton, con este ritmo peculiar y repetitivo, nos preparara para el movimiento, para bailar sólo de escucharlo", asegurando que este estilo musical utiliza los acuerdos de una manera predecible.
La música clásica, sin embargo, es mucho más compleja y mucho menos predecible, esto podría explicar porque es el estilo musical que activa menos las diferentes zonas cerebrales.

Según explica el neurocientífico: "Lo que más nos llamó la atención fue que activaba una región primitiva del cerebro: los ganglios basales", y añade que "Son grupos de neuronas que están en zonas profundas del cerebro y que se encargan de modular la postura, de empezar y terminar un movimiento... Además de estar involucrados en el sistema de recompensa o placer".
En estos ganglios se encuentra el origen de algunas enfermedades degenerativas como el Parkinson, en los que “hay una degeneración progresiva de algunos de ellos que causa una disminución de la dopamina y que en última instancia produce, entre otros, alteración del movimiento", explica Martín-Fernández, que deja una puerta abierta a investigar más el procesamiento global en el cerebro y este mismo experimento en pacientes con enfermedades degenerativas.


