Descubren que una mujer vivió 80 años con una aguja en su cerebro
Descubrimiento tardío
Los médicos creen que sus padres quisieron asesinarla de pequeña

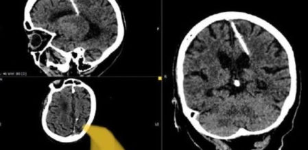
La aguja en el cerebro de la mujer

Se reveló que una anciana en el Lejano Oriente de Rusia había vivido durante 80 años con una aguja de 3 centímetros de largo en el cerebro, después de que los médicos hicieran el descubrimiento inesperado durante una tomografía computarizada.
Los médicos creen que la mujer fue víctima de un infanticidio fallido llevado a cabo por sus padres, y dijeron que no intentarían quitarle la aguja por temor a empeorar su condición. "Tales casos durante años de hambruna no eran infrecuentes", dijo el departamento de salud local en la remota región rusa de Sajalín.
Decidieron matar a su hija
Conclusión. Dijo que sus padres probablemente decidieron matar a su hija durante la Segunda Guerra Mundial, ya que ella había estado viviendo con la aguja de tres centímetros de largo "desde su nacimiento". Al parecer, este método se utilizaba a menudo para ocultar pruebas del crimen.

Tiempos pasados. La escasez de alimentos prevaleció en toda la Unión Soviética durante la guerra, y muchas personas vivían en la pobreza extrema. "La aguja penetró en su lóbulo parietal izquierdo, pero no tuvo el efecto deseado: la niña sobrevivió", dijo el departamento de salud local.
Dijo que el paciente nunca se había quejado de dolores de cabeza debido a la lesión y que no corría ningún peligro.
"Su condición está siendo monitoreada por el médico tratante".


