Se han perdido miles de vidas desde comienzos de año, hemos pasado encerrados en nuestras casas casi tres meses y solo se nos pide que tengamos precauciones para poder funcionar en esa “nueva normalidad” para evitar los contagios. El coro navirus sigue entre nosotros y, a pesar de todo lo que hemos pasado, los contagios siguen al alza en toda España. Parece que hay gente que todavía niega o no da importancia lo que está sucediendo, gente que no utiliza mascarillas ni guarda distancia social, gente que sale de fiesta o se va de vacaciones sin pensar en nada salvo en sí mismos; una irresponsabilidad individual que afecta sin remedio al resto de la ciudadanía.
HUELVA, 03/08/2020.- La Plaza de Toros de La Merced, abarrotada de personas incumpliendo las medidas de seguridad, el pasado fin de semana. EFE/Julián Pérez.
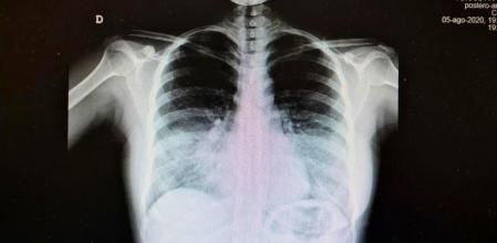
A ellos se ha querido dirigir Pascual Piñera, jefe del Servicio de Urgencias en el Hospital General Universitario Reina Sofía de Murcia, lanzando un aviso serio acompañado de un ejemplo más que gráfico tomado esta misma semana: la imagen de un paciente muy afectado por una neumonía bilateral producida por el coronavirus. Los pulmones son radiotransparentes y deberían verse negros enteros en una radiografía. En la base de ambos pulmones se ve opaco, lo que indica que hay afectación pulmonar por la COVID-19.
La imagen, que se ha vuelto viral, es bastante explicativa por sí misma: si no llevamos mascarilla y guardamos la distancia de seguridad requerida, esa radiografia podría ser de cualquiera de nosotros. Opiniones acerca de la imagen ha habido para todos los gustos. Sin embargo, sorprende cómo algunos usuarios insisten en que “tenemos que aprender a convivir con el virus” porque “no va a desaparecer” como respuesta a lo que están viendo; o criticar la labor del Gobierno, en lugar de aceptar que todos hemos de ser responsables y cambiar de hábitos una temporada.
Perdonad... Antes no se sabía q había q hacer. Ahora los contagios son porque no se hacen bien las cosas..
— M.A.R (@issis46) August 5, 2020
No contéis novelas, la culpa ahora es nuestra porque se pasa de todo.
Eso sí, esos mismos si noa confinan dirán q la economía no se sostiene y error es nuestra culpa.
Nos encerramos en casa, renunciamos a la familia y dejamos de vivir mientras inventan la "milagrosa" vacuna? El virus no va a desaparecer nunca así que habrá que ir acostumbrándose a convivir con él.
— ReBay 🕊️🏳️🌈 (@_stepbystep_17) August 6, 2020
"Seguid de fiestas nocturnas como un verano más y reuniones familiares sin #UsaMascarilla y sin #DistanciamientoSocial, como si nada pasara.". Cómo nos encanta a los humanos señalar a la gente. Lo peor es que hay algunos que aún no se enteran que no podemos erradicar el virus aún
— Celso Gorrín (@hades646) August 6, 2020
El #COVID__19 es una enfermedad q se ceba con quienes no tenemos más remedio q seguir trabajando e ir en transporte público
— NuriaLB (@nurialblazquez) August 5, 2020
Estoy de acuerdo en pedir responsabilidad particular a las personas, sobretodo quien no respeta las medidas de higiene y distanciamiento social, pero la justicia/política del hace poco por poner solución a ciertas actitudes que promueven el contagio. Https://t.co/LRZyBGNpxO
— Javi (@Javi_marques) August 5, 2020
Imágenes como estás tendrían que abrir todos los telediarios, a ver si se toma conciencia de la gravedad.
— Ana Segovia (@aissj3) August 6, 2020
Los datos no engañan: la pandemia de coronavirus deja ya casi 19 millones de contagiados y más de 700.000 fallecidos. Los contagios siguen al alza y, a falta de una vacuna efectiva, no nos queda más remedio que ser responsables.
