
Sanitas CIMA, a la vanguardia en neurología con tecnología avanzada y tratamientos
En Barcelona
Desde neurofisiología clínica hasta cuatro unidades especializadas y un laboratorio de EEG avanzado, el Servicio de Neurología de Sanitas CIMA mejora significativamente el pronóstico de los pacientes.

Desarrollan cuatro unidades especializadas: Epilepsia, Cefalea, Deterioro Cognitivo y Enfermedades Neuromusculares
Están las patologías neurológicas más frecuentes y menos complicadas: cefaleas y migrañas, mareo y vértigo, trastornos del sueño y dolor neuropático. Y están también las más complejas: la epilepsia, el deterioro cognitivo y las demencias (incluyendo enfermedad de Alzheimer), los trastornos del movimiento (Parkinson y otros), las enfermedades desmielinizantes como la esclerosis múltiple, las enfermedades neuromusculares, la neuro-oncología y los trastornos neuroinmunológicos.
Todas ellas pueden aparecer en cualquier momento de nuestra vida, por lo que contar con profesionales adecuados para tratarlas es la diferencia entre poder, o no, convivir con ellas y tener la mayor calidad de vida posible. Por eso, el Servicio de Neurología de Sanitas CIMA ofrece una atención integral que abarca prácticamente todo el espectro de patologías neurológicas.

“En el caso de los ictus, atendemos tanto la prevención como el tratamiento en fase subaguda y la rehabilitación posterior. No obstante, aquellos pacientes en fase aguda candidatos a fibrinólisis son derivados directamente a las unidades de ictus de sus centros públicos de referencia, garantizando así la atención más rápida y especializada posible en estos casos críticos donde cada minuto cuenta”, detallan desde el Servicio.
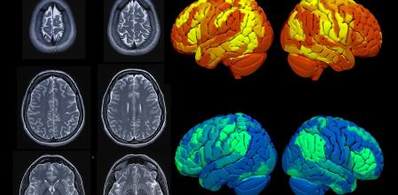
Técnicas diagnósticas para saber
En neurología moderna, son absolutamente fundamentales las técnicas diagnósticas, ya que el cerebro y el sistema nervioso son estructuras extraordinariamente complejas que no pueden explorarse directamente, sino a través de herramientas especializadas para “ver” qué está ocurriendo en su interior. Sanitas CIMA dispone de un arsenal diagnóstico completo que incluye técnicas de imagen avanzada como la resonancia magnética de 1.5 teslas y la tomografía computarizada, que permiten visualizar la estructura cerebral con gran detalle. No son las únicas.
“La medicina nuclear con PET y SPECT añade información funcional y metabólica crucial en enfermedades neurodegenerativas y oncológicas. La neurosonología, mediante Doppler carotídeo y transcraneal, nos permite evaluar el flujo sanguíneo cerebral de forma no invasiva, fundamental en la prevención y seguimiento de enfermedades vasculares cerebrales. Por su parte, la neurofisiología clínica –con electroencefalograma, electromiografía y estudios del sueño– registra la actividad eléctrica del cerebro y los nervios, revelando alteraciones funcionales invisibles a otras técnicas”, detallan desde Sanitas CIMA.
El Servicio de Neurología de Sanitas CIMA ofrece una atención integral de casi todas las patologías
El diagnóstico se completa con herramientas de vanguardia como los test neuropsicológicos para evaluar funciones cognitivas, el análisis de biomarcadores en líquido cefalorraquídeo y estudios genéticos que identifican mutaciones causantes de enfermedades hereditarias. Una combinación inteligente de técnicas que permite al hospital, no solo confirmar diagnósticos, sino también personalizar tratamientos y monitorizar su eficacia, mejorando significativamente el pronóstico de sus pacientes.
Un registro de la actividad eléctrica
El servicio de Neurología de Sanitas CIMA también pone el foco en la neurofisiología clínica, una especialidad médica que estudia el funcionamiento del sistema nervioso mediante el registro de su actividad eléctrica. Este pilar diagnóstico resulta fundamental, ya que muchas enfermedades neurológicas no se manifiestan como alteraciones estructurales visibles en una imagen, sino como disfunciones en la forma en que el cerebro y los nervios transmiten sus señales.
“Nuestro catálogo incluye el electroencefalograma (EEG) estándar y prolongado para registrar la actividad eléctrica cerebral; el vídeo-EEG, que combina el registro eléctrico con grabación visual del paciente para caracterizar mejor los eventos; el EEG en la Unidad de Cuidados Intensivos para pacientes críticos; la electromiografía y electroneurografía (EMG/ENMG), que evalúan nervios periféricos y músculos; y la polisomnografía para el estudio integral de los trastornos del sueño”, enumeran los especialistas del Servicio de Neurología.
Sanitas CIMA realiza alrededor de 60 electroencefalogramas al mes en relación a la evaluación de epilepsia, el estudio del deterioro cognitivo y la caracterización de cuadros confusionales. Esta alta actividad refleja la relevancia de las técnicas en el diagnóstico diferencial y seguimiento de numerosas patologías neurológicas, permitiendo a los especialistas tomar decisiones terapéuticas precisas, basadas en evidencia objetiva del funcionamiento cerebral.
Una nueva ventana al cerebro
Entre las novedades más inmediatas del hospital está la apertura del Laboratorio de EEG avanzado, que representará un salto cualitativo en la capacidad diagnóstica y abre una nueva ventana para entender el funcionamiento íntimo del cerebro, acercándonos a tratamientos más efectivos y personalizados para las enfermedades del sistema nervioso.
Una electroencefalografía es una técnica estándar en neurología desde hace décadas, pero la verdadera innovación radica en cómo interpretamos y analizamos los datos recogidos. “El cerebro es inherentemente complejo. Los métodos de análisis convencionales a menudo simplifican esta realidad, perdiendo información crucial sobre cómo se comunican las diferentes áreas cerebrales. Nuestro laboratorio se especializa en análisis cuantitativos no lineales: mediante modelos matemáticos sofisticados y gran potencia computacional, determinamos patrones ocultos en el aparente “caos” de las ondas cerebrales. Este enfoque reconoce que la complejidad del cerebro no es “ruido” que deba eliminarse, sino la señal fundamental que debemos interpretar”, subraya el Dr. Antonio Donaire, jefe del Servicio de Neurología.
Esta metodología tiene profundas implicaciones para el diagnóstico y tratamiento de diversas condiciones neurológicas y psiquiátricas. Enfermedades como la epilepsia, el Alzheimer o la esquizofrenia no siempre son resultado de una lesión física evidente, sino de alteraciones en la dinámica y sincronización de la actividad cerebral. Al aplicar análisis no lineales, detectamos alteraciones sutiles que no son visibles con métodos estándar, identificando biomarcadores de disfunción que podrían facilitar intervenciones mucho antes de que aparezcan síntomas graves. Todo ello se traduce en diagnósticos más precisos, inicio más rápido de tratamientos adecuados y un seguimiento personalizado de las distintas estrategias terapéutica, mejorando significativamente el pronóstico de los pacientes.
Unidades específicas
En la actualidad, el Servicio de Neurología de Sanitas CIMA está desarrollando cuatro unidades especializadas: Epilepsia, Cefalea, Deterioro Cognitivo y Enfermedades Neuromusculares. “Como equipo joven y en fase de consolidación, hemos diseñado una estrategia de especialización basada en criterios de excelencia asistencial y eficiencia. Estas cuatro unidades responden a las patologías neurológicas que vemos con mayor frecuencia en nuestra consulta y que, además, se benefician especialmente de un seguimiento evolutivo continuado y multidisciplinar”, explican desde el Servicio.
Todas ellas son patologías crónicas complejas que requieren terapias específicas y un abordaje integral que va más allá del diagnóstico inicial. Cada unidad cuenta con un neurólogo experto en esa patología específica como núcleo, que trabaja en estrecha colaboración con otros especialistas como neurorradiólogos, médicos nucleares, neuropsicólogos, rehabilitadores, psiquiatras, genetistas y trabajadores sociales, según las necesidades de cada paciente.
El acceso a estas unidades especializadas es fundamentalmente interno, derivado desde la consulta general de neurología, lo que garantiza una continuidad asistencial óptima. La excepción es la Unidad de Epilepsia, que también acepta derivaciones externas dada la complejidad y especificidad del manejo de esta patología. “Este modelo nos permite ofrecer una atención personalizada y basada en las últimas evidencias científicas, mejorando significativamente los resultados terapéuticos y la calidad de vida de nuestros pacientes”, apuntan los especialistas.