Con el paso del tiempo, e influido por nuestros hábitos de vida o nuestra genética, nuestro cuerpo envejece, se degeneran o desgastan nuestros huesos y articulaciones, incluida nuestra columna vertebral, una de las grandes damnificadas por el sedentarismo que hemos cultivado en esta pandemia de Covid-19.
A esto hay que sumarle que las patologías de columna y los dolores de la zona lumbar más concretamente representan una de las consultas más frecuentes en los servicios de atención médica, una dolencia que merma seriamente la calidad de vida de los pacientes afectados.
Dr. Ignacio Moya, cirujano especialista en columna vertebral del Hospital El Pilar de Barcelona
"El dolor lumbar es uno de los motivos de consulta más frecuentes en la atención médica primaria y especializada. De todas sus causas, los procesos degenerativos de la columna lumbar es la más frecuente. Además, tras la pandemia causada por la COVID-19 y el confinamiento, el sedentarismo de la población adulta ha aumentado notablemente, llevando a una insuficiencia muscular de la musculatura abdominal y erectora del tronco", explica el cirujano especialista en columna vertebral del Hospital El Pilar de Barcelona, el doctor Ignacio Moya.
En el caso de la columna este experto indica que las articulaciones que se sitúan entre las vértebras son las 'articulaciones facetarias' y debido a ese desgaste o degeneración antes descrita se favorece lo que se conoce como artrosis facetaria. "Entre los procesos degenerativos del raquis, uno de los más frecuentes es la sobrecarga o artrosis facetaria. Las facetas son las articulaciones que cada vértebra tiene con las dos adyacentes (superior e inferior). Dichas articulaciones tienen dos láminas de cartílago que se deslizan cada vez que realizamos la flexión o extensión del tronco, y llegan a su mayor colapso con la extensión de este".
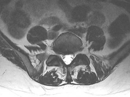
Imagen de una caso de artrosis facetaria
Síntomas
Con ello, el especialista de Quirónsalud mantiene que el desgaste o artrosis facetaria se caracteriza por el dolor, y precisa que concretamente se produce un dolor lumbar bajo que empeora especialmente cuando estamos mucho tiempo de pie o caminando, y con la extensión del tronco, y que además puede irradiarse hacia las nalgas o la parte posterior del muslo. En cambio, sostiene que el dolor mejora cuando el paciente está tumbado descansando y cuando se inclina hacia adelante.
El dolor lumbar es uno de los motivos de consulta más frecuentes en la atención médica primaria y especializada
"Su diagnóstico, además de clínico, con la certificación de los síntomas, se confirma con la realización de pruebas de imagen como la resonancia magnética lumbar, que pone de manifiesto la localización exacta de la degeneración del cartílago facetario", agrega el doctor Moya.
Vías de tratamiento
"Pese a que el tratamiento inicial debe consistir en el ejercicio, medicación o rehabilitación, en un porcentaje alto de los pacientes con artrosis facetaria el dolor persiste", sostiene el cirujano.
Los especialista cada vez se decantan más por las técnicas quirúrgicas no invasivas para el tratamiento de los problemas degenerativos del esqueleto
Por eso, dice que cada vez los especialistas abogan más por las técnicas quirúrgicas no invasivas para el tratamiento de los problemas degenerativos del esqueleto. "Desde hace mucho tiempo la artroscopia se ha mostrado como una técnica útil, segura y poco invasiva para el tratamiento de la patología degenerativa de la rodilla, de la cadera, del hombro o del tobillo, por ejemplo", según señalan varios especialistas.
Recuperación rápida
Aclara que para la realización de esta técnica se precisa solo de una incisión de entre uno y tres milímetros en la piel por la que se introduce un endoscopio para explorar la articulación. Se trata de una apertura muy pequeña, de forma que el riesgo de infecciones o de sangrados posteriores es muy inferior al de las operaciones convencionales.
"Consiste en la visualización directa de la articulación con una cámara a la vez que, por otro portal, se realizan los procedimientos necesarios para tratar quirúrgicamente la lesión causante del dolor", añade el cirujano especialista en columna vertebral.
Pese a que el tratamiento inicial debe consistir en el ejercicio, medicación o rehabilitación, en un porcentaje alto de los pacientes con artrosis facetaria el dolor persiste
Es más, el experto del Hospital El Pilar resalta que en Europa y en nuestro medio son diversos los cirujanos que están optando por la endoscopia de columna para tratar el dolor lumbar que surge como consecuencia de procesos degenerativos como la artrosis facetaria lumbar, como es el caso del doctor Moya, experto en realizar esta técnica avanzada dentro de la línea de cirugías no-invasivas para dar tratamiento y respuesta a los pacientes afectos de dolor lumbar facetario.
"Es una técnica segura y con resultados clínicos constatados en la literatura científica internacional", valora el experto, al tiempo que destaca la pronta recuperación de los pacientes, algunos incluso en el mismo día, y prácticamente sin dolor postoperatorio, así como la mínima agresión de los tejidos o la reducción prácticamente a cero del riesgo que en cambio sí presentan las cirugías convencionales.
Esta innovadora intervención tampoco conlleva un reposo absoluto para el paciente, por lo que muchos incluso días después de este procedimiento mínimamente invasivo pueden retomar su actividad laboral, e incluso a los pocos meses volver a hacer deporte.
