La triquinosis o triquinelosis es una zoonosis, una enfermedad causada por nemátodos parasitarios (ascárides) de la familia Trichinella. La Trichinella spp puede infestar a la mayor parte de mamíferos; y la ‘Trichinella spiralis’ es la que suele afectar más a menudo al ser humano si llega a ingerir carne no suficientemente cocinada, sobre todo, de cerdo, jabalí o caballo que no haya superado los controles veterinarios de seguridad alimentaria.
Causas de la triquinosis
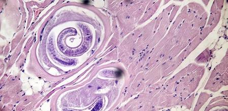
Parásito ‘Trichinella spiralis’
La causa de la triquinosis es la ingesta de carne infestada por larvas de ‘Trichinella spiralis’ que son incubadas en los intestinos del huésped donde crecen hasta que se convierten en nemátodos adultos o gusanos que se reproducen y migran hacia el torrente sanguíneo o al sistema linfático a través de la pared intestinal. Los gusanos pueden invadir células musculares, transformadas en “células nodrizas” donde forman quistes que pueden ser viables durante años. Los nematodos de la ‘Trichinella spiralis’ puede infestar los tejidos musculares incluido el corazón y el diafragma y pueden llegar a afectar a los pulmones o el cerebro.
Síntomas de la triquinosis
Fiebre y dolor muscular entre otros
Los principales síntomas de la triquinosis son:
- Dolor muscular al respirar, masticar o usar músculos largos.
- Dolor abdominal.
- Diarrea.
- Espasmos abdominales.
- Fiebre alta.
- Debilidad muscular.
- Hinchazón en los párpados y el rostro.
- Sensibilidad a la luz.
- Conjuntivitis.
Algunas complicaciones de la triquinosis pueden ser:
- Inflamación del miocardio, el músculo cardiaco (miocarditis).
- Inflamación del cerebro (encefalitis).
- Meningitis.
- Neumonía.
Diagnóstico de la triquinosis
Análisis de sangre y biopsia muscular
Para realizar el diagnóstico de triquinosis el médico, además del examen físico y la descripción de síntomas, solicitará un análisis de sangre que permita detectar si hay anticuerpos contra la ‘Trichinella spiralis’ o si hay un aumento de eosinófilos (un tipo de glóbulos blancos). También puede solicitar el análisis de una muestra de tejido muscular para que, examinada bajo el microscopio, puede confirmar la presencia de larvas del parásito.
Tratamiento y medicación de la triquinosis
Buen pronóstico
La triquinosis suele tener buen pronóstico a nivel médico. La pauta de tratamiento, antes de que las larvas invadan los tejidos musculares, se basa en medicamentos antihelmínticos como albendazol o el mebendazol. Para los dolores musculares se recetan analgésicos y corticosteorides en caso de reacción alérgica.
Prevención de la triquinosis
Consumir carne bajo control veterinario
La mejor medida para prevenir la triquinosis es asegurarse de que la carne que se consume ha superado los controles veterinarios de seguridad alimentaria. Como medidas adicionales se recomiendan las siguientes precauciones:
- Evitar la carne cruda o poco cocinada. Los cortes de carne se deben cocinar a una temperatura mínima de 65ºC y hay que esperar unos tres minutos para consumirla después de que se haya retirado del fuego. La carne de cerdo y de vaca si se han picado para hacer hamburguesas o albóndigas tienen que cocinase a un mínimo de 70ºC. Para asegurarse de que las temperaturas de cocción son correctas se puede usar un termómetro de carne.
- La carne de caza debe ser cocinada a una temperatura mínima de 70ªC y la de aves de corral a unos 75ºC.
- Si se pica la carne es importante limpiar y desinfectar a fondo el electrodoméstico que se ha usado y todos sus accesorios.
- Es importante tener en cuenta que métodos de conservación como el ahumado o el encurtido no matan a los parásitos de triquina en la carne infestada por lo que ante la duda es mejor evitar su consumo.
