La cisticercosis es una infección zoonótica que provocan las larvas (cisticercos) del parásito ‘Taenia solium’, una tenia solitaria que se hospeda en el cerdo, y que forman quistes en varios tejidos del organismo humano. Si llegan al cerebro recibe el nombre de neurocisticercosis que es la forma más severa de la enfermedad ya que causa trastornos neurológicos y, a veces, la muerte. Es una enfermedad que puede ocurrir en todo el mundo pero es más habitual en zonas rurales en países en desarrollo donde se crían cerdos para el consumo como Sudamérica, Asia y África subsahariana.
Causas de la cisticercosis
Ingestión de huevos de ‘T. Solium’
Los cisticercos se desarrollan en los músculos estriados, tejidos subcutáneos y sistema nervioso central de los cerdos, el huésped intermediario. El hombre puede adquirir la teniasis tras consumir carne contaminada cruda o poco cocida. También es posible adquirirla al beber agua contaminada o por vía oral-fecal por contacto con materia fecal contaminada.
Síntomas de la cisticercosis
Aparecen unos dos meses después de la infestación
Los síntomas, generalmente leves, suelen aparecer en torno a las ocho semanas después de ingerir el parásito y una vez que la tenia se ha desarrollado por completo en el intestino. El periodo de incubación es variable y las personas infestadas pueden no tener síntomas durante años. La sintomatología también puede sentirse después de la muerte de la tenia tras el tratamiento:
- Dolor abdominal.
- Náuseas.
- Diarrea o estreñimiento.
- Bultos visibles y palpables bajo la piel.
- Si llegan a los ojos: visión borrosa, inflamación o desprendimiento de retina.
La neurocisticercosis es la forma más grave de la enfermedad y se caracteriza por signos como:
- Convulsiones.
- Ceguera.
- Acumulación excesiva de líquido cefalorraquídeo en el cerebro (hidrocefalia).
- Meningitis.
- Demencia.
Los cisticercos también puede llegar al corazón provocando una insuficiencia cardiaca o a la columna vertebral donde dañan los nervios provocando debilidad y cambios en la marcha.
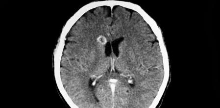
Diagnóstico de la cisticercosis
Pruebas de imagen y análisis de sangre
Las pruebas de imagen como la tomografía computerizada (TC), la resonancia magnética (RM) o las radiografías son las principales pruebas para detectar la presencia del parásito. También se puede realizar un análisis de sangre para detectar anticuerpos, un examen ocular de fondo de ojo o una punción lumbar para detectar la presencia o no en la columna vertebral.
Tratamiento y medicación de la cisticercosis
Antiparasitarios, antiinflamatorios y cirugía
La pauta farmacológica incluye antiparasitarios como albendazol o praziquantel y antiinflamatorios para bajar la hinchazón. En muchos casos es preciso un procedimiento quirúrgico para extirpar la zona o zonas infestadas. La técnica a aplicar dependerá del caso. Puede ser cirugía abierta para la resecación de quistes o una endoscopia.
Prevención de la cisticercosis
Medidas de higiene y seguridad alimentaria
La buena higiene personal y la higiene de los alimentos garantizada a través de las medidas de seguridad alimentaria y el control veterinario mediante la vacunación de los cerdos son las mejores medidas de prevención contra la cisticercosis. También es crucial, en los viajes a zonas endémicas del parásito, no beber agua ni tomar hielo que no tenga garantías sanitarias ni comer alimentos crudos; incluidas frutas y verduras.
