El autocuidado que necesitamos para que nuestro organismo esté bien tiene muchos factores, pero, realmente, los fundamentales empiezan por cuidar nuestro microbioma; nuestra flora intestinal. En la actualidad la investigación de las bacterias que habitan en nuestro intestino se considera la base de la medicina del futuro. Estas bacterias trabajan, si se lo permitimos, a favor de nuestro sistema inmune, por ejemplo, de tener un adecuado índice glucémico en sangre –lo que contribuiría a reducir el riesgo de padecer diabetes- y de nuestro buen tono de salud en general.
Conocer de forma profunda y certera la microbiota es foco de interés desde todas las disciplinas de la medicina. Las investigaciones apuntan que, con un estilo de vida orientado al cuidado de nuestra flora intestinal, podemos evitar la aparición de trastornos como las alergias, el asma, evitar enfermedades inflamatorias, no llegar a tener diabetes… e, incluso, a incrementar nuestra esperanza de vida. La lista de beneficios puede ser extensa.
Dr. Climent Casals-Pasqual, jefe de la sección de bacteriología del departamento de microbiología del Hospital Clínic de Barcelona
En el departamento de microbiología del Hospital Clínic de Barcelona, en la sección de bacteriología, su jefe, el Dr. Climent Casals-Pascual –también vicepresidente de la Societat Catalana de Malalties Infeccioses i Microbiologia Clínica (SCMIMC)- encabeza un estudio pionero que permita conocer el mapa del microbioma humano. Un reto de largo recorrido que cuenta con artículos publicados en revistas de elevado prestigio científico como Gastroenterology.
La flora intestinal nos necesita
Para tener un cuerpo saludable
El primer paso es conocer la importancia de la flora intestinal en nuestra vida. “Los humanos adquirimos la flora intestinal adulta a los tres años o a partir del destete. Entonces empiezas a contactar con el ambiente del que proceden buen parte de las bacterias que necesitamos para crear esa flora. Otra manera de verlo es imaginarse que el tubo intestinal está envuelto de linfocitos y de todo el sistema inmunitario y entender que la flora intestinal es el intermediario que hay entre lo que comes, el mundo externo y tu inmunidad” explica Casals-Pascual.
Tener una flora intestinal de alta diversidad, en óptimas condiciones, es crucial para la capacidad de nuestro cuerpo para estar sano. Para ello es fundamental, clarifica el jefe de bacteriología del Hospital Clínic de Barcelona, ”la comunicación que existe entre las bacterias y el sistema inmune que está justo por debajo del intestino. Una vez que tenemos todas estas bacterias va a depender de lo que le des de comer para que fabriquen una serie de metabolitos, unas moléculas, que van a atravesar el intestino para irse a los linfocitos y ahí se comunican con ellos y les dicen lo que tienen que hacer -o estar más proinflamatorios o más tolerantes-. Lo que quieres es que estén tolerantes” continúa el investigador. Esto es importante porque de la reacción de los linfocitos va a depender, en gran parte, padecer alergias y otros problemas crónicos o no.
Cuidar la mucosa intestinal con fibra
El principal prebiótico
El primer paso del cuidado de la flora intestinal pasa por velar por el buen estado de la mucosa de nuestro intestino. Esto lo conseguimos tomando fibra. Entre las bacterias, los linfocitos y el intestino hay una mucosa que evita que se filtre a la sangre el contenido del intestino.
“Si a estas bacterias les das fibra se la van a comer y no va a haber problema. En el momento en que dejas de ingerirla estas bacterias se comen esa capa de moco y aparecen los antígenos que llegan a la sangre, que van a estimular los linfocitos provocando una inflamación de bajo nivel pero que se convierte en crónica. Esta es la responsable de trastornos como la enfermedad inflamatoria intestinal” apunta Climent Casals-Pascual.
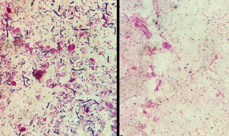
A la izquierda, imagen desde el microscopio de flora intestinal sana; a la derecha, flora intestinal de baja diversidad
Otro paso importante es entender que no hay dos individuos con la misma flora intestinal y no a todos nos sienta igual el mismo alimento. “Ahora empezamos a entender que no es lo que comes sino lo que comes y quién se lo come y qué bacterias tienes y qué has hecho tú por esas bacterias” destaca el vicepresidente de la SCMIMC.
El primer plato, para el microbioma
Buen flujo intestinal
En nuestras comidas, al menos en las principales, el primer plato tiene que ser de fibra. Espárragos, crucíferas - col, coliflor, brócoli, coles de Bruselas, kale…-, en general, es mejor que la fibra proceda de vegetales frescos. Es importante evitar el estreñimiento con un buen flujo intestinal y la fibra también ejerce una función sustancial en el control de la glucosa en sangre.
Un estilo de vida
Beneficios a largo plazo
Sin embargo, para que la flora intestinal ejerza su beneficio a largo plazo, que trabaje porque nuestro cuerpo tenga un buen estado general y podamos vivir una larga vida –si no se presenta ningún problema de salud serio- la clave está en adoptar un estilo de vida. En él lo fundamental es ingerir fibra cada día, en cada primer plato –como ya indicamos antes- y hacer ejercicio regular –salir a caminar a buen paso, por ejemplo-.
Tener mascota también es positivo y, en especial, estar en contacto con el mundo rural. “Se ha demostrado que la diversidad microbiana es mucho mejor en una persona que tiene animales en casa y aún mejor en la gente que viene de ambientes rurales. Las bacterias entre los diferentes grupos se comunican para crear una nube de metabolitos que determinan nuestra salud basal” concluye Casals-Pascual. A mayor contacto con una amplia diversidad bacteriana, por supuesto siempre respetando una higiene correcta, la diversidad de la flora intestinal será más rica.
